Forschungsprojekte
Public Juling > Herbert > Wissenschaft und Forschung > Forschungsprojekte > Denkmalpflege

Modellhafte Forschungen und Erhaltungsmaßnahmen an der umweltgeschädigten glasierten Ziegelfassade des Lübecker Rathauses (Weltkulturerbe) unter besonderer Berücksichtigung von Glasurersatzmaterialien (Schleswig-Holstein)

gefördert durch die Deutsche Bundesstiftung Umwelt (DBU) 2005-2006

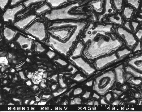
[REM-RE-Abbildung einer Glasuroberfläche]
Geschädigte Oberfläche eines glasierten Ziegels. Es ist ersichtlich, dass die bleiarmen Bereiche (dunkel) rascher abgetragen werden als die bleireichen (hellen) Domänen. Durch die damit einhergehende Reliefbildung verliert die Glasur ihren Glanz.

Die Marktfassade des Kriegsstubenbaus am Lübecker Rathaus war durch Umwelteinwirkungen stark geschädigt und dringend sanierungsbedürftig. Ziegel, bei denen die Zerstörung bereits so weit fortgeschritten ist, dass eine Ergänzung und Konservierung nicht mehr möglich bzw. nicht zu verantworten war, sollten ausgetauscht werden. Eine Erhaltung der nur teilweise geschädigten und daher „noch zu rettenden“ Ziegel wurde angestrebt, setzte allerdings ein wirksames Konzept für deren Behandlung voraus. Hierzu zählten strukturelle Festigungen an der Glasur und am keramischen Scherben, Oberflächenbeschichtungen sowie der Einsatz von Glasur-Ersatzmaterialien. Diese Maßnahmen dienten der optischen Wiederherstellung des ursprünglich beabsichtigten Gesamteindrucks und dem Schutz und der Erhaltung des darunter befindlichen geschwächten Originalmaterials.

Im ersten Abschnitt des Projektes standen vor allem die Glasurschäden im Mittelpunkt des Interesses. Durch die mikroskopischen Untersuchungen konnten die vorliegenden Schadensformen detailliert beschrieben werden. Es ließen sich bislang keine Korrelation zwischen den Schadensbildern und der Glasurzusammensetzung ermitteln. Salze als mögliche Schadensursache konnten ausgeschlossen werden. Als mögliche Schadensursachen kommen Frostschäden bzw. thermische Spannungen in Betracht. Vor diesem Hintergrund wurden die Materialeigenschaften der Ziegel verstärkt in die Untersuchungen einbezogen. Dabei hat sich herausgestellt, dass Ziegelqualitäten, die aufgrund der relevanten Materialkennwerte (Rohdichte, Festigkeit, Porenradienverteilung) als frostbeständig einzustufen wären, in Gegenwart einer Glasur erhebliche Frostschäden aufweisen können. Diese Erkenntnisse wurden durch weiterführende Laboruntersuchungen bestätig und mussten im Konservierungskonzept Berücksichtigung finden.
 

Datenschutzerklärung | Copyright © 2021 : Herbert Juling | login